Full-mouth Dental Implants
All-On-X, 4, 5, 6 or 8 implants for a full restoration.
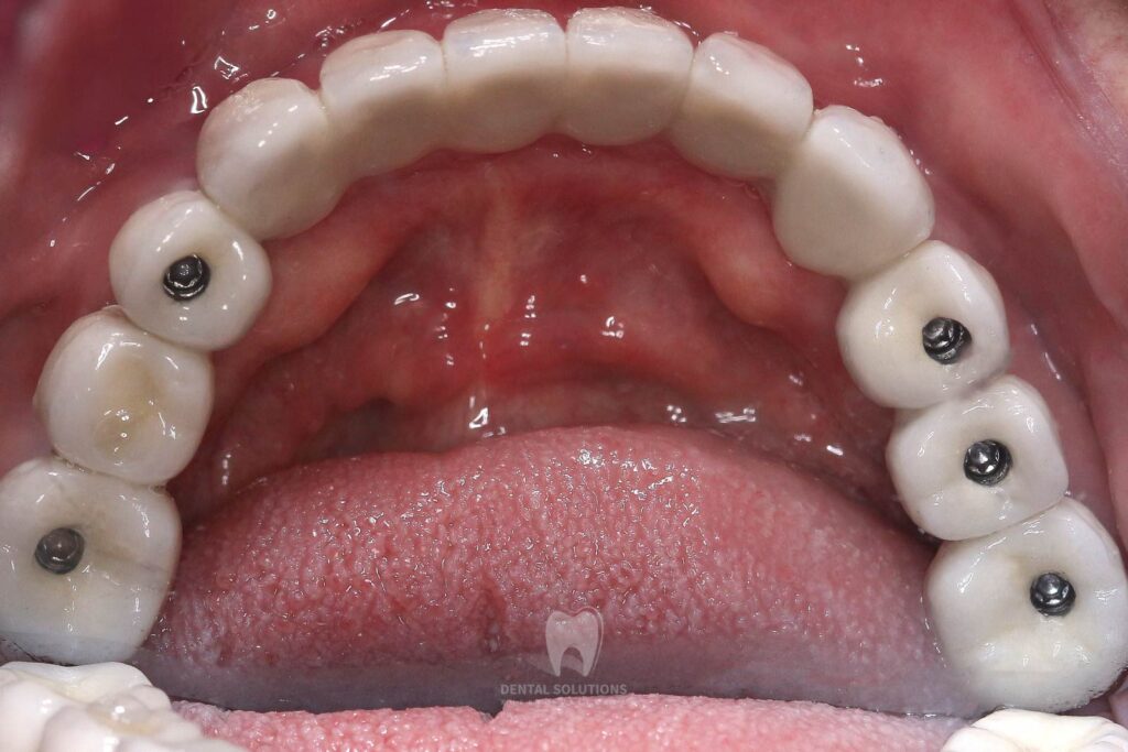
The procedure entails the placement of implants throughout the maxilla and mandible. Subsequently, a fully screwed prosthesis is affixed onto these implants.
We recommend it for severe cases. The objective is to replace a full set of teeth or the entire dental arch.
- Collaboration
- A team of experts working together
- Safety
- A thorough process and follow-up for your well-being
- Aesthetic and function
- We enhance your smile with custom prostheses
- World-class results
- use of renowned Straumann brand for our implants
Patience is key to perfect results
Your new smile, in due time: with two stages, continuous communication, and dedication to your treatment.
What to expect
The number of visits, length of stay, and preparation for your appointments.
- Surgical stage
First, we plan where to place the implants and design the provisional prostheses. This stage requires time to gather all the necessary information to plan the procedure.
Once we have all the information, we proceed to the appointment where the implants and provisional prosthesis will be placed. The appointment lasts several hours, depending on the number of implants, one arch, or both, and teeth extraction.
Recommendation: come prepared with comfortable clothing (a sweater, sweatpants, and sneakers).
Recovery and follow-up (10 days stay minimum)
After the surgical treatment, the patient should rest in a cool place. We will suggest a special diet along with a prescription for medications. The patient should avoid outdoor activities, swimming, etc.
Each patient is different, but they will likely experience pain and discomfort in the oral area in the following days. We will be attentive and maintain constant communication with the patient, and if necessary, we will have appointments available.
Subsequent appointment
A few days later, we will have a follow-up appointment to check the condition of the sutures. If the patient has received the prosthesis anchored to the implants, we will evaluate the occlusion (bite) and make any necessary adjustments.
We will stay in touch with the patient during the time between each stage.- Permanent restorations (12 days stay approximately)
The patient will return in 3 to 6 months for the second stage of the treatment. This stage involves replacing the temporary prostheses with permanent ones.
We will customize the permanent prostheses to fit the gums and match the patient’s appearance. We will take all the necessary measurements and impressions to fabricate the prostheses.
Revision
Throughout this process, there will be multiple appointments (not daily) to assess the bite, aesthetics, and fit of the prosthesis on the implants to ensure the final product can be securely attached to the implants.
After the prostheses are delivered, we will allow a few extra days for any necessary adjustments, primarily focusing on the occlusion (bite).
Live your life fully with a complete restorative treatment
