Dental Veneers
The easiest and fastest way to give your smile an extreme makeover.
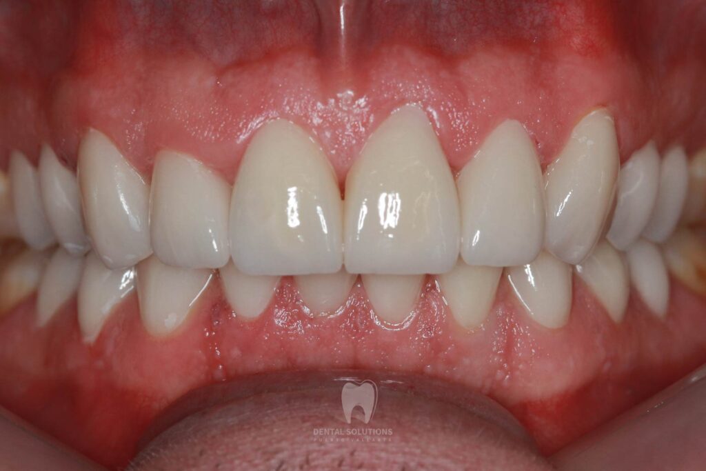
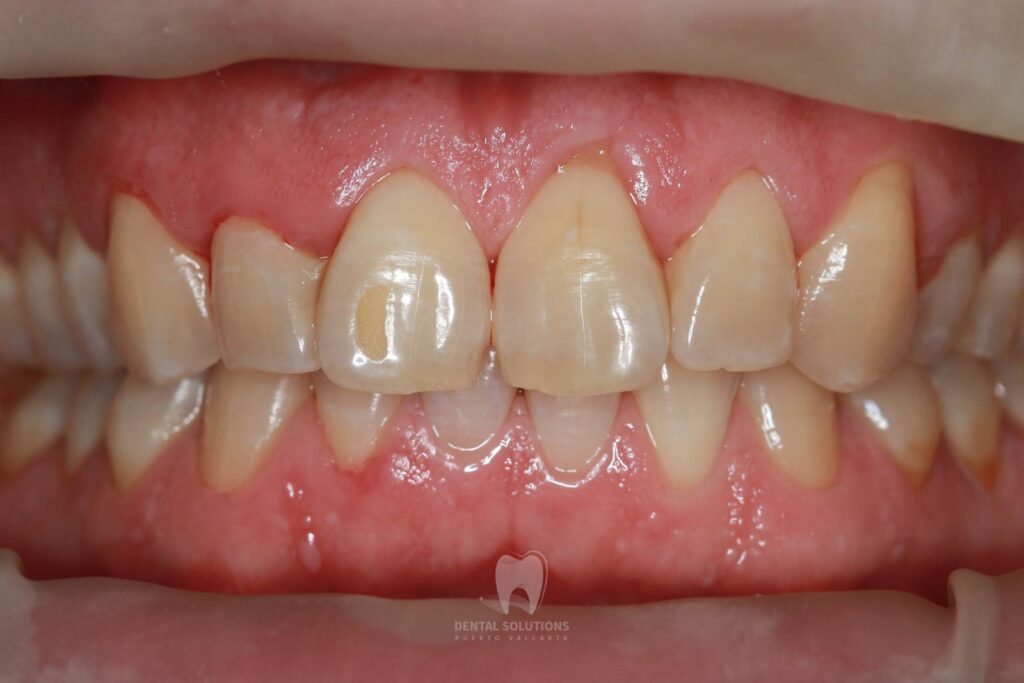
Dental veneers are a very conservative procedure, with a minimal reduction of the enamel. They give a natural aspect and contribute to aesthetic and harmonic results. We design each piece to match the color, shape, and structure of the teeth.
We have same-day veneer fabrication, either with composite resin or ceramic CEREC veneers. Depending on the patient’s expectations, we will suggest the most appropriate procedure. We involve you in the decision and explain every detail.
- Personalized piece
- We create the veneers to satisfy your needs and appearance
- Long-lasting materials
- We use ceramic e-max™ veneers, they last from 10 to 15 years
- Conservative procedure
- Less possibility of irreversibly damaging your teeth
- One-year guarantee
- If required, after indications and follow-up on consultations
We are passionate about smiles and renovations!
Take a look at real before and after photographs of renovated smiles.
What to expect from dental veneers
- First appointment
In the valorization appointment, your doctor will ask about your expectations, desires, and budget. The doctor will give you an idea of how your smile will look.
- Second appointment
Ater a couple days when the doctor finishes the design and manufactures your veneers,they will be ready to place on your mouth! The process requires approximately a week.
We will Improve your teeth looks. Request your first appointment.
